Small Animal Dentistry
Dental disease is one of the most common life-threatening issues that our pets face. When there is extensive dental disease, the bacteria from the mouth seeps into the bloodstream through the damaged gums. This leads to conditions like heart disease, liver disease, and kidney disease.
Keeping the teeth clean leads to a longer, healthier life. That is why we may recommend that your pet have a dental cleaning. On the day of the dental cleaning, we will do a full exam of your animal, then be placed under general gas anesthesia. We will do a complete oral exam: full mouth x-rays, probing and charting all the teeth, examining the gums and tongue. We will then scale and polish the teeth. When you pick up your pet, we will have a full dental chart to give you. This will show you any problems that we discovered, and any recommendations that we would have for the future.



Why do we use general anesthesia for a dental cleaning?
Because it is the best and safest way to care for your pet’s oral health. A dental cleaning is an unsettling experience even for a human. For your pet, it would be terrifying, and dangerous. In order to provide your pet with the best quality dental care, we must be able to look into the entire mouth, x-ray all the teeth to look for fractures and abscesses, probe the gums, scale the tartar and bacteria off of the visible tooth surfaces as well as under the gumline, and then polish all the teeth. Your pet would never allow us to do this while they are awake.
By using general anesthesia, we can perform all these services quickly and effectively. We can also ensure that nothing has been missed. Your animal will have a breathing tube inserted in their airway so that we can control the anesthesia and prevent any possibility of aspiration. Please be assured that we will use the safest possible anesthetic protocol, and your pet will be constantly monitored by a veterinary technician while under anesthesia.
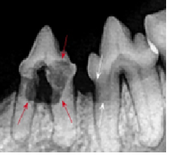
Dental extractions
Often, when we have x-rayed the mouth and cleaned off the tartar, we find problems: fractures, loose teeth, and abscesses. Very often, these situations require that the affected teeth be extracted. If possible, we will try to do the extractions on the day of the dental cleaning. However, it is usually better for your animal to have these done as a separate procedure on another day. Either way, we will explain the situation to you and give you an estimate of costs so that you can be prepared.
To help keep your pet’s teeth clean, we recommend using one of the products recommended by the Veterinary Oral Health Council (VOHC). Click here for a list of dog products or cat products. Always look for the VOHC approval stamp.

