Equine Lab Work
We are fully equipped to handle the routine testing that your horse may need. That means blood chemistry, complete blood counts, and IgG testing for foals.
If you need more extensive testing, such as thyroid levels, uterine cultures, tissue sample pathology, or EPM titer tests, we work with various equine reference facilities to get you the answers you need.
And most importantly, we can get your Coggins (EIA) testing done when you want to travel with your horse. Your Coggins certificate will be on Global Vet Link, so you can access a digital copy of the completed for whenever you need it. Don't have a Global Vet Link Account? Click here to access the website and get signed up.

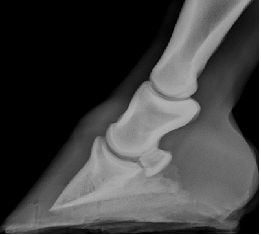
Equine Imaging
What's going on inside? Does your horse have a bone fracture? Is there a hoof abscess? Trouble with their teeth? We have digital x-rays to help see inside. And while it is faster and easier to do the x-rays in our clinics, we can bring the equipment to you if necessary.



We also have ultrasound capability to check for breeding readiness or to confirm pregnancy.

